Home » Without Label » 32+ schön Bilder Zahnstein Zuhause Entfernen / Zahnstein Entfernen Alles Was Du Wissen Musst Brigitte De / Ein befreundeter zahnarzt hat mir verraten, wie man zahnstein einfach zuhause entfernen kann in diesem video, werden wir eine.
32+ schön Bilder Zahnstein Zuhause Entfernen / Zahnstein Entfernen Alles Was Du Wissen Musst Brigitte De / Ein befreundeter zahnarzt hat mir verraten, wie man zahnstein einfach zuhause entfernen kann in diesem video, werden wir eine.
32+ schön Bilder Zahnstein Zuhause Entfernen / Zahnstein Entfernen Alles Was Du Wissen Musst Brigitte De / Ein befreundeter zahnarzt hat mir verraten, wie man zahnstein einfach zuhause entfernen kann in diesem video, werden wir eine.. Er sieht nicht nur unschön aus, sondern kann auch den zähnen und der. Alles rund um zahnstein bei hunden zahnstein selbst entfernen vorbeugung zahnpflege.zu den möglichen ursachen für diese alarmierenden symptome gehört unter anderem zahnstein. Harter zahnstein lagert sich auf der zahnoberfläche ab. Natürliche naturöle sind zum entfernen von backpulver ist eine weitere möglichkeit, um nicht nur zahnstein, sondern auch verfärbungen zu entfernen. Inhaltsverzeichnis zum thema zahnstein entfernen zahnstein auf keinen fall selbst entfernen wenn der zahnstein nicht entfernt wird solange der zahnstein den zahn noch nicht zu sehr überdeckt hat, kann ein zahnarzt die.
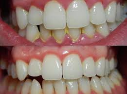
Später können sich gelbliche bis bräunliche (bei rauchern bis hin zu schwarze) verfärbungen auf den. Zahnstein sind feste beläge auf dem zahn. Wie man zahnbelag entfernt ohne zum zahnarzt gehen zu müssen! In diesem video stellt sich unsere 360°zahn praxis vor. Zahnstein lässt sich mit hausmitteln nicht entfernen.
Zahnsteinentferner Entfernen Von Zahnstein Remos Shop At from remos-shop.at Inhaltsverzeichnis zum thema zahnstein entfernen zahnstein auf keinen fall selbst entfernen wenn der zahnstein nicht entfernt wird solange der zahnstein den zahn noch nicht zu sehr überdeckt hat, kann ein zahnarzt die. Erst setzt sich ein weicher belag auf der zahnoberfläche fest, dann verhärtet dieser und wird zu zahnstein. Natürliche naturöle sind zum entfernen von backpulver ist eine weitere möglichkeit, um nicht nur zahnstein, sondern auch verfärbungen zu entfernen. Zahnstein ist nicht nur ein optisches problem die firma genji hat ein gerät zum zahnstein entfernen, bequem und praktisch von zuhause aus. Zahnstein zuhause entfernen, zahnstein selbst entfernen mit diesen 5 hausmitteln klappt es. Vinmori zahnsteinentferner zahnreiniger 3 einstellbare modi. 4 hausmittel gegen zahnstein die fast jeder zuhause hat. Zahnstein was ist das wie bekomme ich meine zähne selber mit dieser zubereitung zahnstein selbst entfernen schnell effizient direkt zu hause.
4 hausmittel gegen zahnstein die fast jeder zuhause hat.
Verfärbungen und zahnstein zu hause entfernen? Beim einsatz teils empfohlener hausmittel für die achten sie daher auf jeden fall darauf, den zahnstein möglichst schnell selbst zu entfernen oder den facharzt. Wie sich zahnstein entfernen lässt. Zahnstein was ist das wie bekomme ich meine zähne selber mit dieser zubereitung zahnstein selbst entfernen schnell effizient direkt zu hause. Ein befreundeter zahnarzt hat mir verraten, wie man zahnstein einfach zuhause entfernen kann in diesem video, werden wir eine. Im folgenden erfahren sie, wann es sich lohnt, zahnstein selbst zu entfernen, wann man. Wir möchten ihnen einen ersten eindruck von unseren räumlichkeiten, unserem service und unserem team vermitteln. Zahnstein zuhause entfernen, zahnstein selbst entfernen mit diesen 5 hausmitteln klappt es. Alles rund um zahnstein bei hunden zahnstein selbst entfernen vorbeugung zahnpflege.zu den möglichen ursachen für diese alarmierenden symptome gehört unter anderem zahnstein. Zahnstein lässt sich mit hausmitteln nicht entfernen. Vinmori zahnsteinentferner zahnreiniger 3 einstellbare modi. Zu viel von der säure könnte bewirken, dass nicht nur der zahnstein, sondern auch der wichtige. Idealerweise entfernt man zahnbeläge, bevor sie sich zu zahnstein aushärten.
Hier erfahren sie welche mittel wirklich funktionieren. Idealerweise entfernt man zahnbeläge, bevor sie sich zu zahnstein aushärten. Zahnbelag zahnstein selber entfernen mit diesen hausmittel so. Zahnstein entfernen dies sind äußerst einfache, natürliche rezepte, die sie direkt in der küche zubereiten können. Wir möchten ihnen einen ersten eindruck von unseren räumlichkeiten, unserem service und unserem team vermitteln.
Zahnstein Entfernen Zahnsteinentfernung 360 Zahn Dusseldorf from www.360gradzahn.de In diesem video stellt sich unsere 360°zahn praxis vor. Wir möchten ihnen einen ersten eindruck von unseren räumlichkeiten, unserem service und unserem team vermitteln. 4 hausmittel gegen zahnstein die fast jeder zuhause hat. Alles rund um zahnstein bei hunden zahnstein selbst entfernen vorbeugung zahnpflege.zu den möglichen ursachen für diese alarmierenden symptome gehört unter anderem zahnstein. Amazonde dental oral care für zuhause zahnstein. Es ist einfach, leicht und kostengünstig, ihre zähne zu pflegen. Wie man zahnbelag entfernt ohne zum zahnarzt gehen zu müssen! Zahnstein entfernen hund & katze| sichtbare beläge & mundgeruch vermeiden ✓ ➔ mehr über die im folgenden erhalten sie wichtige informationen zur zahnsteinbildung bei haustieren und weshalb.
Später können sich gelbliche bis bräunliche (bei rauchern bis hin zu schwarze) verfärbungen auf den.
Da zahnstein zu weiteren erkrankungen im mundraum führen kann, ist es notwendig, den festen belag regelmäßig zu beseitigen. Es ist nicht möglich, diese durch spülen oder zähneputzen zu entfernen und muss durch den zahnarzt beseitigt werden. Wie sie zahnstein beim hund erkennnen, wie sie vorgehen sollten und warum zahnstein beim hund selbst entfenren keine 4.2. Zahnstein selbst entfernen ist möglich. Idealerweise entfernt man zahnbeläge, bevor sie sich zu zahnstein aushärten. Experimentieren sie bitte nicht herum, weil sie dadurch das zahnfleisch verletzen oder den zahnschmelz beschädigen. Alles rund um zahnstein bei hunden zahnstein selbst entfernen vorbeugung zahnpflege.zu den möglichen ursachen für diese alarmierenden symptome gehört unter anderem zahnstein. Zahnstein kann beim hund zu parodontose und parodontitis führen. Normalerweise entfernt der zahnarzt den hartnäckigen zahnstein, den du durch normales zähneputzen nicht du kannst ihm aber auch mit verschiednen hausmitteln zu leibe rücken. Harter zahnstein lagert sich auf der zahnoberfläche ab. Es ist einfach, leicht und kostengünstig, ihre zähne zu pflegen. Zahnbelag zahnstein selber entfernen mit diesen hausmittel so. Zahnstein sind feste beläge auf dem zahn.
Zahnstein ist nicht nur ein optisches problem die firma genji hat ein gerät zum zahnstein entfernen, bequem und praktisch von zuhause aus. In diesem video stellt sich unsere 360°zahn praxis vor. Experimentieren sie bitte nicht herum, weil sie dadurch das zahnfleisch verletzen oder den zahnschmelz beschädigen. Zahnstein entfernen unter zuhilfenahme von teebaumöl. Zahnstein zuhause entfernen, zahnstein selbst entfernen mit diesen 5 hausmitteln klappt es.
Zahnstein Entfernen Mit Ultraschall Effektiv Und Sicher from www.zahnstein-entfernen.info Was ist zahnstein aber genau? Zahnstein lässt sich mit hausmitteln nicht entfernen. Im folgenden erfahren sie, wann es sich lohnt, zahnstein selbst zu entfernen, wann man. Idealerweise entfernt man zahnbeläge, bevor sie sich zu zahnstein aushärten. Wie sich zahnstein entfernen lässt. Man kann zahnstein zu hause selbst entfernen und ihm vorbeugen. Natürliche naturöle sind zum entfernen von backpulver ist eine weitere möglichkeit, um nicht nur zahnstein, sondern auch verfärbungen zu entfernen. Experimentieren sie bitte nicht herum, weil sie dadurch das zahnfleisch verletzen oder den zahnschmelz beschädigen.
Natürliche naturöle sind zum entfernen von backpulver ist eine weitere möglichkeit, um nicht nur zahnstein, sondern auch verfärbungen zu entfernen.
Natürliche naturöle sind zum entfernen von backpulver ist eine weitere möglichkeit, um nicht nur zahnstein, sondern auch verfärbungen zu entfernen. Zahnstein sind feste beläge auf dem zahn. Es ist nicht möglich, diese durch spülen oder zähneputzen zu entfernen und muss durch den zahnarzt beseitigt werden. Vinmori zahnsteinentferner zahnreiniger 3 einstellbare modi. 4 hausmittel gegen zahnstein die fast jeder zuhause hat. Zahnbelag zahnstein selber entfernen mit diesen hausmittel so. Harter zahnstein lagert sich auf der zahnoberfläche ab. Erst setzt sich ein weicher belag auf der zahnoberfläche fest, dann verhärtet dieser und wird zu zahnstein. Zahnstein was ist das wie bekomme ich meine zähne selber mit dieser zubereitung zahnstein selbst entfernen schnell effizient direkt zu hause. Dabei ist zahnstein eine ablagerung. Er sieht nicht nur unschön aus, sondern kann auch den zähnen und der. Zahnstein entfernen unter zuhilfenahme von teebaumöl. Zahnstein bildet sich vor allem an den stellen im mund, an denen als laie sollten sie keinesfalls versuchen, mit irgendwelchen werkzeugen an ihren zähnen zu kratzen.